Volume 10, Issue 2 (5-2022)                   Jorjani Biomed J 2022, 10(2): 53-61 | Back to browse issues page


XML Print


Download citation:
BibTeX | RIS | EndNote | Medlars | ProCite | Reference Manager | RefWorks
Send citation to:

Jafari Shiran M, Naseri S, Sadeghian-Rizi T, Khani S, Shoormij M, Dakhilpour S S. Therapeutic and Preventive Effects of Aqueous Extracts of Arctium lappa L. and Cichorium intybus L. against Fatty Liver in Rats. Jorjani Biomed J 2022; 10 (2) :53-61
URL: http://goums.ac.ir/jorjanijournal/article-1-786-en.html
1- Researcher of Traditional Medicine and Medicinal Plants, Iranian Academy Center for Education, Culture and Research (ACECR), Medicinal Herbal Center, Ardabil Branch, Ardabil, Iran
2- Department of Pharmacology-Toxicology, Faculty of Pharmacy, Tehran Medical Sciences, Islamic Azad University, Tehran, Iran
3- Department of Biotechnology, Faculty of Biological Sciences and Technology, Shahid Ashrafi Esfahani University, Isfahan, Iran
4- Islamic Medicine Pioneers Company, Ardabil, Iran
5- Researcher of Traditional Medicine and Medicinal Plants, Iranian Academy Center for Education, Culture and Research (ACECR), Medicinal Herbal Center, Ardabil Branch, Ardabil, Iran , s.dakhilpour@uma.ac.ir
Full-Text [PDF 781 kb]   (3702 Downloads)     |   Abstract (HTML)  (11140 Views)
 The fatty liver is a reversible form of fat accumulation in the liver cells.
 The aqueous extract of Arctium lappa L. (burdock) and Cichorium intybus L. (chicory) reduces the liver macro-vesicles and micro-vesicles and symptoms of steatosis without any specific liver complications.
 The burdock-chicory extract could be considered a potential dietary supplement strategy for preventing and treating fatty liver.

Full-Text:   (2020 Views)
 Introduction
Fatty liver has recently increased in our society due to increased obesity. The importance of this disease is due to the destruction of liver cells; if fatty liver is not detected in the early stages, it can lead to an irreversible liver disease called cirrhosis. According to the studies, the prevalence of the fatty liver disease is about 46%. The most common cause of this disease is elevated liver enzymes; however, the etiology of liver cirrhosis remains unknown. Studies in this field are limited in Iran. A study in the Golestan province of Iran in 2006 showed that the rate of fatty liver disease was 2% in the general population over 18 years old (1-3). Increased liver size is detectable in about 75% of patients in a clinical examination. Symptoms of chronic and progressed liver diseases, such as spider angioma, palmar erythema, abdominal fluid accumulation, and spleen enlargement, are visible in a few patients whose diagnosis is delayed. Gemfibrozil, a lipid-lowering drug, improves the laboratory symptoms of fatty liver (4). Statins, other lipid cholesterol-lowering drugs, also improve the laboratory symptoms (5), while ursodeoxycholic acid, a hepatocyte protecting agent, has not been beneficial in recent studies (6). Three major causing factors of fatty liver have been recognized, including fatty acids chemical mediators called TNFα and adiponectin (7).  The causes of the disease can be divided into two general groups. The first group is drugs and poisons, and the second group is metabolic disorders. As limited studies have been conducted about the possible causes of this disease, it is still a long way to achieve the best treatment. According to the current knowledge, the basis of treatment is weight loss, elimination of possible drugs and poisons, and control of diabetes and lipids in the patients. Lack of proper treatment and several side effects of existing chemical drugs, including stomach bloating, stomach pains, headache, rash, and nausea or vomiting, have led to extensive research to discover herbs/plants with therapeutic potential and without side effects.
We selected two herbs, Arctium lappa L., and Cichorium intybus L., which have been frequently applied in traditional medicine to treat liver-related diseases (8). We evaluated the therapeutic activity of the mixture of aqueous extracts against fatty liver disease. Burdock belongs to the genus of Arctium in the Asteraceae family, which has medicinal value (9). This plant is commonly native to the temperate regions of Asia and Europe. According to the chemical analysis, the root of burdock contains mainly inulin, polyacetylenes, arctic acid, propionic acid, butyric acid, lauric acid, stearic acid, palmitic acid, plant hormones, tannin, polyphenolic acid, potassium carbonate and nitrate, various resins and glucoside-lappin (10). The chemical compounds in the burdock seeds include a bitter glucoside called arctin, chlorogenic acid, lapaul A and B, germacranolide. Burdock leaves contain arctiol, fukinone, fukinanolide, β-eudesmol, petastilone, eremophilone, and taraxasterol. It is also reported to contain lignans, including arctigenin and its glycoside arctin, which have a variety of biological activities, such as anti-cancer, anti-HIV, antioxidant and antimicrobial effects. The medicinal plant Chicory is a plant from the Cichorium genus in the Asteraceae family. The main origin of this plant is central Europe, the western and central parts of Asia, and North Africa. Chicory contains sodium/potassium/magnesium phosphates and sulfates, potassium nitrate, inulin, fructose, resin, chicorin and scoletin. In chemical analysis of chopped chicory leaves, water, vitamins A, B1, B2, 2% protein, a small amount of fat, 4% sugar, and calcium were obtained. Chicory has sesquiterpene, bitter lactones, such as lactocin, lactucopicrin, chicorein (coumarin glucoside), malton (simple pyrone) and tadaxastrine (triterpene) (11-13).
Several studies demonstrated that chicory extract might be effective in the treatment of fatty liver disease. Chicory has different activities such as antihyperlipidemic, antihyperglycemic, antihepatotoxic, anti-inflammatory, antidiabetic, and antioxidant, which make it possible that chicory affects the various steps of the disease severity and progression (14-16).
The previous studies showed that burdock exhibits antioxidant, hypolipidemic, hypoglycemic, and hepatoprotective activity and can protect cells from oxidative stress and fat accumulation (17). It has been demonstrated that burdock attenuates cholesterol accumulation in the liver and serum by reducing its absorption in the intestinal tract (18). Existing studies have demonstrated that chicory and burdock have beneficial effects on liver disease, but the combination of these has not studied. In this research, we performed preliminary studies of Cassiamon formulation, a combination of chicory and burdock herbs, which affect the fatty liver disease.

Materials and Methods
Plant Material
The studied plants, burdock, and chicory were collected from northwest Iran, the provinces of Ardebil, and East Azarbaijan. They were identified and verified using a collection of Iranian herbal flora books and samples from the Herbarium Research Center of Herbs (Islamic Azad University of Tabriz, Iran). Collected samples were dried in the shade at room temperature and blended using electric grinders to obtain a powder of aerial parts of plants (19).
Preparation of the Extracts
To prepare the aqueous extract, 40 g of the powdered plant was dissolved in 1000 mL of distilled water and kept at 4 ° C for 48 hours. The extract of the plant was isolated by filtration. The extract was again extracted in 300 mL of distilled water for 24 hours under similar conditions and for the third time the remaining extract was dissolved in 100 mL of distilled water and shaked for 2 hours. Finally, the solvent was removed using a rotary evaporator, resulting in 10 g of dry extract, which was stored at 4°C for further use.
Investigation of the therapeutic effect of extracts on fatty liver
To induce liver steatosis, the high-fat emulsion was used according to the method proposed by Zou et al. (20). In summary, 30 Wistar rats were divided into six groups, with five rats in each group, respectively as control group, model group, and four test groups (groups 1 to 4). Except for the control group, the other five groups were fed with high-fat diet (Table 1) and were given high-fat emulsion (10 ml/kg body weight) by gavage. Every rat in test groups 1 to 4 received 125, 250, 500, 1000 mL/kg of aqueous extracts of burdock and chicory mixture (1:1 v/v) every day for 30 days, respectively. At the same time, the control group and the model group were given the same volume of normal saline by gavage.
Table 1. Composition of high-fat diet
g/300 mL dH2O Composition
400 Maize oil
150 Sucrose
80 Milk powder
10 Sodium Deoxycholate
100 Cholesterol
36.5 Tween 80
31.1 propylene glycol
2.5 vitamin mix
10 Sodium chloride
1.5 Mineral mix
After the 30th treatment, blood was collected from rat's eyeball, the serum was separated, and data of biochemical indexes, including aspartate Aminotransferase (AST), Alanine Aminotransferase (ALT), Alkaline Phosphatase (ALP), Albumin (Alb), Total Bilirubin (TB), and total protein were analyzed. Rats were killed by the method of spinal cord dissection, liver of all the rats was removed, liver tissue samples were stabilized in 10% formalin, and 4-6 µm sections were prepared, and stained with hematoxylin-eosin for histologic examination.
Standardization of the extracts
The aqueous extracts of burdock and chicory mixture were standardized on the chicoric acid as the main active compound by HPLC (21).


Table 2. Serum level of liver enzymes and proteins in the control group and model group rats
Control group Model group Normal range
AST (U/L) 29.6±2.30 87.6±3.36 0-37
ALT (U/L) 26±2.91 77.6±1.52 0 – 41
Alb (g/dL) 4.22±0.44 2.38±0.81 2-5
TB (mg/dL) 0.78±0.04 4.3±0.20 1ـ  0
TP (g/dL) 6.78±0.49 5.52±0.33 6-8
ALP (IU/L) 180.8±8.64 316.2±12.62 8-306
AST (aspartate aminotransferase), ALT (alanine aminotransferase), Alb (albumin), TB (total bilirubin), TP (total protein), ALP (alkaline phosphatase)

Statistical Analysis
Data was analyzed using SPSS Statistics Version 23.0. Comparison of differences between groups was performed by the t-Test.
Ethics in Animal
All applicable international, national, or institutional guidelines for the care and use of animals were followed, and the Animal Ethics Committee approved the study of the Academic Center for Education, Culture and Research (ACECR), Medicinal Herbal Center of Ardabil Branch, Ardabil, I.R. Iran (No. S.94.43.1404).

Results
Investigation of the therapeutic effect of extracts on fatty liver
The feeding of high-fat diet for 30 days effectively induced fatty liver in rats, as evidenced by the markedly increased body weight, liver weight, and serum ALT, AST, TB, and ALP, while decreasing TP and Alb (Table 2). Furthermore, hematoxylin and eosin staining results (Figure 1B) showed that steatosis was developed and numerous lipid macro-vesicles were observed in the livers of the rats fed by high-fat diet. Based on these results, the fatty liver disease model was considered to be successfully established. Compared with the model group, different concentrations of aqueous extracts of burdock-chicory could significantly decrease levels of ALT, AST, TB, and ALP in test groups and returned to the normal level which observed in control group (Table 3), reduce the liver macro and micro-vesicles, and decrease symptoms of steatosis without specific liver complications (Figure 2). It was found that the concentrations of 500 and 1000 mL/kg of burdock-chicory extract showed the most and the concentration of 125 mL/kg showed the least effective therapeutic effect against steatosis.
Standardization of the extracts
The quantitative determination revealed that the quantity of cichoric acid as the main active compound was about 0.038 mg/ml in the extract (Figure 3).

Table 2. Serum level of liver enzymes and proteins in the control group and model group rats
Control group Model group Normal range
AST (U/L) 29.6±2.30 87.6±3.36 0-37
ALT (U/L) 26±2.91 77.6±1.52 0 – 41
Alb (g/dL) 4.22±0.44 2.38±0.81 2-5
TB (mg/dL) 0.78±0.04 4.3±0.20 1ـ  0
TP (g/dL) 6.78±0.49 5.52±0.33 6-8
ALP (IU/L) 180.8±8.64 316.2±12.62 8-306
AST (aspartate aminotransferase), ALT (alanine aminotransferase), Alb (albumin), TB (total bilirubin), TP (total protein), ALP (alkaline phosphatase)

Table 3. Serum level of liver enzymes and proteins in the test groups rats treated by extract
Test groups treated by different amount of burdock-chicory extract Control Model
125(mL/kg) 250(mL/kg) 500(mL/kg) 1000(mL/kg)
AST (U/L) 46.4±2.61 39.2±1.48 27.6±2.07 29.6±1.52 29.6±2.30 87.6±3.36
ALT (U/L) 45.6±1.67 42±0.71 25.4±3.05 26.6±1.52 26±2.91 77.6±1.52
Alb (g/dL) 3.78±0.40 4.02±0.20 4.76±0.50 4.92±0.23 4.22±0.44 2.38±0.81
TB (mg/dL) 2.4±0.47 1.32±0.22 0.74±0.09 0.74±0.05 0.78±0.04 4.3±0.20
TP (g/dL) 5.82±0.43 6.48±0.15 7.06±0.19 7.24±0.15 6.78±0.49 5.52±0.33
ALP (IU/L) 316.4±11.54 273.6±11.01 186.2±9.42 184±5.52 180.8±8.64 316.2±12.62
 
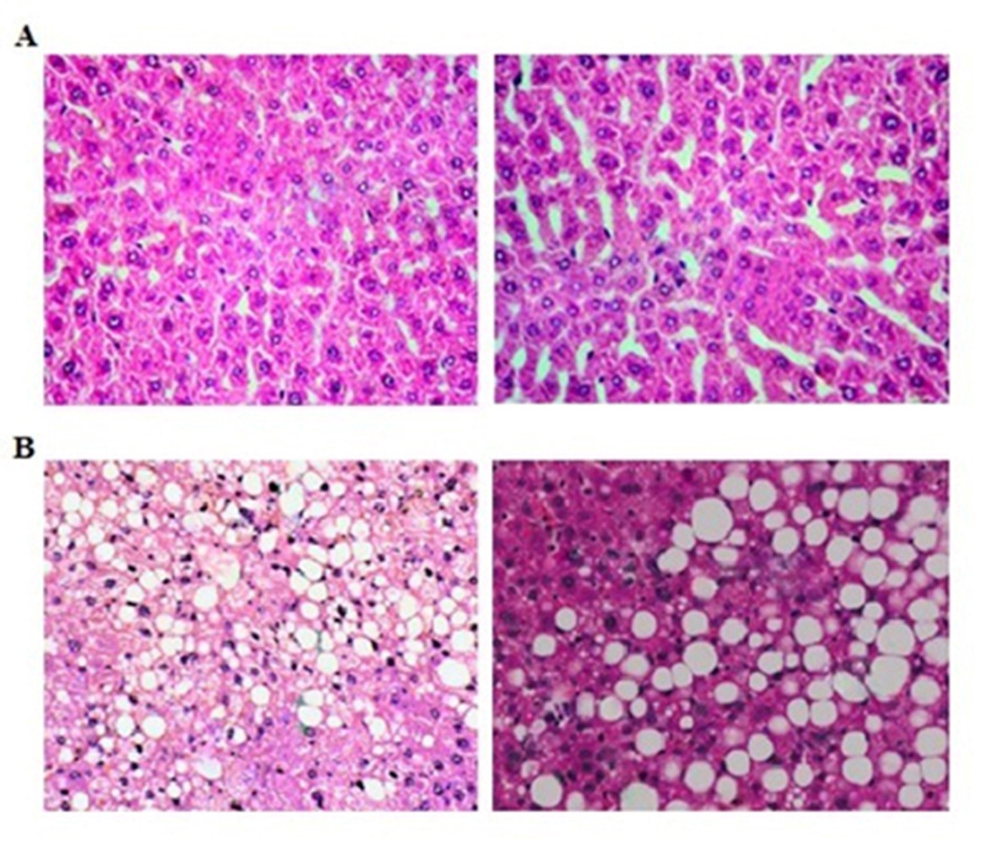
Figure 1. Liver histological cross-sections from the control group (A) and model group rats (B). The livers photomicrographs of the control group rats fed with normal diet showed the hepatocytes and the structure of the liver tissue remained normal (A) whereas high-fatty diet led to lipid accumulation and formation of macro-vesicular steatosis (white hollow bubbles) in livers of model group rats (B), showing that fatty liver model was successful.
 
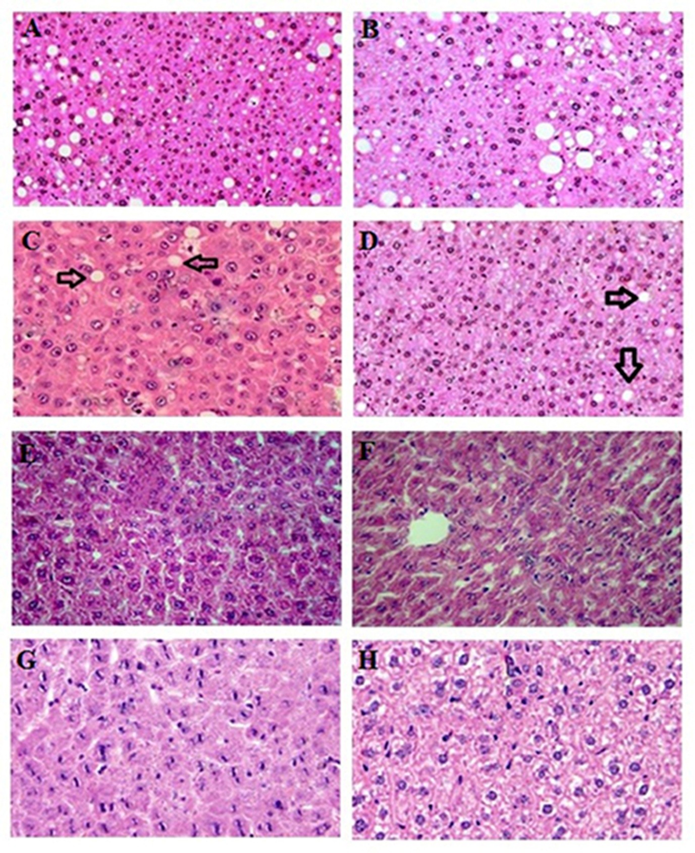
Figure 2. Liver tissue pathology of test groups rats treated by burdock-chicory extract. A, B; the rats treated with 125 mL/kg of extract. The area of hepatic steatosis in this group decreased slightly when compared with that in the model group (Figure 1B) and lipid macro-vesicles were observable. C, D; the rats treated with 250 mL/kg of extract. The area of hepatic steatosis in this group decreased in comparison to model group (Figure 1B) and only lipid micro-vesicles (tip of arrows) were sporadically visible.  E, F; the rats treated with 500 mL/kg of extract.  Hepatocytes and the structure of the liver tissue were normal in this group comparing to the control group (Figure 1A), and there were no changes or necrosis in the liver cells. G, H; the rats treated with 1000 mL/kg of extract. Hepatocytes and the structure of the liver tissue were normal in this group comparing to the control group (Figure 1A), and there were no changes or necrosis in the liver cells.
 
Figure 3. Standardization of the extracts on the chicoric acid as the main active compound by HPLC. A; Chicoric acid as the standard. B; Chicoric acid presented in the aqueous extracts of burdock and chicory mixture.

Discussion
Research has shown that fat-rich diet can lead to liver steatosis (22). Triglyceride and cholesterol are important biological lipids which excessive intake of them from food leads to hypertriglyceridemia and hypercholesterolemia (23, 24). Non-alcoholic fatty liver is characterized by the accumulation of triglycerides in the liver cells formed by the esterification of free fatty acids and glycerol. Increased free fatty acids in the liver originate from three separate sources, lipolysis (hydrolysis of triglycerides into glycerol and free fatty acids) in adipose tissue, high fat diet, and de novo lipogenesis (fatty acid biosynthesis). In contrast, fatty acids may be consumed via beta-oxidation, re-esterification into triglycerides, and storage as lipid droplets or secretion as VLDL (Very Low Density Lipoprotein).
Therefore, lipid accumulation in the liver can occur through increased de novo lipogenesis, decreased beta-oxidation or decreased lipid export as VLDL particles. Donnelly et al. (25) have shown that 60% of liver triglycerides are derived from plasma free fatty acid derived from adipose tissue lipolysis, 26% from de novo lipogenesis and another 15% from dietary fat. Increasing of liver index enzymes including AST, ALP and ALT in serum is the indicator of liver injury (26). In this study we evaluated the therapeutic effects of hydro-alcoholic extract of burdock and chicory on fatty liver in rats fed with high fat diet and serum levels of these enzymes were assayed in the present study since the change in serum levels of these markers in liver steatosis has been reported in the previous studies (27, 28). Results showed an increase in levels of ALT, AST, and ALP enzymes in the serum of rats fed with high-fat diet which indicates damage to the liver cells. This finding is consistent with the results of Chidambarama et al. in 2010 (26). Treatment with aqueous extract of burdock-chicory prevents the elevation of serum levels of these enzymes caused by high-fat diet. In this study, the biochemical results were confirmed by histopathologic findings. The model rats fed by high-fat diet for 4 weeks showed high rates of liver steatosis while histopathologic evaluations showed the anti-hepatosteatosis effects of aqueous extract of burdock-chicory in test rats fed by high-fat diet. Park and his colleagues also investigated burdock extract in combination with three herb mixtures including Glycyrrhiza uralensis (licorice), Magnolia officinalis (magnolia), and Zingiber officinale (ginger) as an effective natural agent for nonalcoholic fatty liver disease and observed the herb formula inhibit lipid accumulation in hepatocytes by suppressing lipogenesis and uptake of free fatty acids (8). In another study, Al-Wabel and his colleagues investigated biological effects of aqueous extracts of six medicinal plants including burdock, chicory, fenugreek, goat`s rue, colocynth and lupine mixed with stirred yoghurt filtrate against alloxan-induced oxidative stress and diabetes in rats. Data of their research showed that the activities of the liver enzymes (AST and ALT) were decreased in sera of treated rat fed on aqueous extract of medicinal plants and stirred yoghurt filtrate mixture (29). These studies potentiate the efficiency of burdock-chicory extract in treatment of fatty liver.

Conclusion
In conclusion, our study shows that extract of burdock-chicory has the potential to ameliorate fatty liver in rats fed with high-fat diet. This study provides evidence that burdock-chicory extract could be considered as a potential dietary supplement strategy for prevention and treatment of fatty liver.
Acknowledgement
We gratefully acknowledge the Academic Center for Education, Culture and Research (ACECR), Medicinal Herbal Center of Ardabil Branch, the Ardabil Science and Technology Park, and Islamic Medicine Pioneers Company for the specialized supports and providing the laboratory facilities.
Conflict of interest
The authors declare that they have no conflict of interest.
 
Type of Article: Original article | Subject: Basic Medical Sciences
Received: 2021/01/13 | Accepted: 2022/05/28 | Published: 2022/06/7

References
1. Söderberg C, Stal P, Askling J, Glaumann H, Lindberg G, Marmur J, et al. Decreased survival of subjects with elevated liver function tests during a 28-year follow-up. Hepatology. 2010;51(2):595-602. [view at publisher] [DOI] [PMID] [Google Scholar]
2. Adams LA, Lymp JF, St Sauver J, Sanderson SO, Lindor KD, Feldstein A, et al. The natural history of nonalcoholic fatty liver disease: a population-based cohort study. Gastroenterology. 2005;129(1):113-21. [DOI] [PMID] [Google Scholar]
3. Jamali R, Khonsari M, Merat S, Khoshnia M, Jafari E, Bahram Kalhori A, et al. Persistent alanine aminotransferase elevation among Iranian general population: prevalence and causes. World Journal of Gastroenterology. 2008;14(18):2867-71. [DOI] [PMID] [PMCID] [Google Scholar]
4. Basaranoglu M, Acbay O, Sonsuz A. A controlled trial of gemfibrozil in the treatment of patients with nonalcoholic steatohepatitis. Journal of Hepatology. 1999;31(2):384-92. [view at publisher] [DOI] [Google Scholar]
5. Kiyici M, Gulten M, Gurel S, Nak SG, Dolar E, Savci G, et al. Ursodeoxycholic acid and atorvastatin in the treatment of nonalcoholic steatohepatitis. Canadian Journal of Gastroenterology. 2003;17(12):713-8. [DOI] [PMID] [Google Scholar]
6. Lindor KD, Kowdley KV, Heathcote EJ, Harrison ME, Jorgensen R, Angulo P, et al. Ursodeoxycholic acid for treatment of nonalcoholic steatohepatitis: Results of a randomized trial. Hepatology.e 2004;39(3):770-8. [DOI] [PMID] [Google Scholar]
7. Marchesini G, Marzocchi R, Agostini F, Bugianesi E. Nonalcoholic fatty liver disease and the metabolic syndrome. Current Opinion in Lipidology. 2005;16(4):421-7. [view at publisher] [DOI] [PMID] [Google Scholar]
8. Park H, Hwang Y, Kim DG, Jeon J, Ma JY. Hepatoprotective effect of herb formula KIOM2012H against nonalcoholic fatty liver disease. Nutrients. 2015;7(4):2440-55. [DOI] [PMID] [PMCID] [Google Scholar]
9. Bi Y, Tugume AK, Valkonen JPT. Small-RNA deep sequencing reveals Arctium tomentosum as a natural host of Alstroemeria virus X and a New Putative Emaravirus. PLoS One. 2012;7(8): e42758. [DOI] [PMID] [PMCID] [Google Scholar]
10. Li J, S. Ding and X. Ding. Optimization of the ultrasonically assisted assisted extraction of polysaccharides from Zizyphus jujuba cv. Jinsixiaozao. Journal of Food Engineering. 2007;80 (1): 176-83. [DOI] [Google Scholar]
11. Awale S, Lu J, Kalauni SK, Kurashima Y, Tezuka Y, Kadota S, et al. Identification of Arctigenin as an antitumor agent having the ability to eliminate the tolerance of cancer cells to nutrient starvation. Cancer Research. 2006;66 (3):1751 -7. [DOI] [PMID] [Google Scholar]
12. Kim BH, Hong SS, Kwon SW, Lee HY, Sung H, Lee IJ, et al. Diarctigenin, a lignan constituent from Arctium lappa, down-regulated zymosan-induced transcription of inflammatory genes through suppression of DNA binding ability of Nuclear Factor-kappa B in macrophages. Journal of Pharmacology and Experimental Therapeutics. 2008;327(2):393-401. [view at publisher] [DOI] [PMID] [Google Scholar]
13. Suzuki S, Umezawa T, Shimada M. Stereochemical diversity in lignin biosynthesis of Arctium lappa L. Bioscience, Biotechnology, and Biochemistry. 2002;66 (6):1262-9. [view at publisher] [DOI] [PMID] [Google Scholar]
14. Cha JY, Park CK, Cho YS. Hepatoprotective effect of chicory (Chicorium intybus) root extract against orotic acid-induced fatty liver in rats. Food Science Biotechnology. 2010;19:865-71. [DOI] [Google Scholar]
15. Faraji S, Daneghian S, Alizadeh M. Effects of chicory (Cichorium intybus L.) on nonalcoholic fatty liver disease. Traditional Medicine Research. 2020; 5(6):476-86. [DOI] [Google Scholar]
16. Ghaffari A, Rafraf M, Navekar R, Sepehri B , Asghari-Jafarabadi M , Ghavami SM. Turmeric and chicory seed have beneficial effects on obesity markers and lipid profile in non-alcoholic fatty liver disease (NAFLD). International Journal for Vitamin and Nutrition Research. 2019;89:293-302. [view at publisher] [DOI] [PMID] [Google Scholar]
17. Lin S, C, Lin C, H, Lin C, C, Lin Y, H, Chen C, F, Chen I, -C, Wang L, -Y: Hepatoprotective effects of Arctium lappa Linne on liver injuries induced by chronic ethanol consumption and potentiated by carbon tetrachloride. Journal of Biomedical Science. 2002;9:401-9. [DOI] [PMID] [Google Scholar]
18. Hou B, Wang W, Gao H, Cai S, Wang C. Effects of aqueous extract of Arctium lappa L. roots on serum lipid metabolism. The Journal of international medical research. 2018;46(1):158-67. [DOI] [PMID] [PMCID] [Google Scholar]
19. Koelzer J, Pereira DA, Dalmarco JB, Pizzolattib MG, Frödea TS. Evaluation of the anti-inflammatory efficacy of Lotus corniculatus. Journal of Food Chemistry. 2009;117(3):444-50. [DOI] [Google Scholar]
20. Zou Y, Li J, Lu C, Wang J, Ge J, Huang Y, et al. High- fat emulsion-induced rat model of nonalcoholic steatohepatitis. Life Science. 2006;79(11):1100-7. [DOI] [PMID] [Google Scholar]
21. Haznedaroglu MZ, Zeybek U. HPLC Determination of chicoric acid in leaves of Posidonia oceanica. Pharmaceutical Biology. 2007;45(10):745-8. [DOI] [Google Scholar]
22. Assy N, Kaita K, Mymin D, Levy C, Rosser B, Minuk G. Fatty infiltration of liver in hyperlipidemic patients. Digestive Diseases and Sciences. 2000;45(10):1929-34. [DOI] [PMID] [Google Scholar]
23. Kametani T, Koshida H, Nagaoka T, Miyakoshi H. Hypertriglyceridemia is an independent risk factor for development of impaired fasting glucose and diabetes mellitus: a 9-year longitudinal study in Japanese. Internal Medicine. 2002;41(7):516-21. [DOI] [PMID] [Google Scholar]
24. Walldius G, Aastveit A, Jungner I. Hypercholesterolemia and hypertriglyceridemia greatest cardiac risk in subjects with high apoB/apoA-I levels. International Congress Series. 2004;1262:203-6. [DOI] [Google Scholar]
25. Donnelly KL, Smith CI, Schwarzenberg SJ, Jessurun J, Boldt MD, Parks EJ. Sources of fatty acids stored in liver and secreted via lipoproteins in patients with nonalcoholic fatty liver disease. Journal of Clinical Investigation. 2005;115(5):1343-51. [DOI] [PMID] [PMCID] [Google Scholar]
26. Chidambarama J, Venkatraman CA. Cissus quadrangularis stem alleviates insulin resistance, oxidative injury and fatty liver disease in rats fed high fat plus fructose diet. Food and Chemical Toxicology. 2010;48(8-9):2021-9. [DOI] [PMID] [Google Scholar]
27. Angulo P. Non alcoholic fatty liver disease. The New England Journal of Medicine. 2002;18(346):1221-31. [view at publisher] [DOI] [PMID] [Google Scholar]
28. Wang JQ, Li J, Zou YH, Cheng WM, Lu C, Zhang L, et al. Preventive effects of total flavonoids of Litsea coreana leave on hepatic steatosis in rats fed with high fat diet. Journal of Ethnopharmacology. 2009;121(1):54-60. [DOI] [PMID] [Google Scholar]
29. Al-Wabel NA, Mousa HM, Omer OH, Abdel-Salam AM. Biological evaluation of aqueous herbal extracts and stirred yoghurt filtrate mixture against alloxan-induced oxidative stress and diabetes in rats. International Journal of Pharmacology. 2008;4(2): 135-9. [DOI] [Google Scholar]

Add your comments about this article : Your username or Email:
CAPTCHA

Send email to the article author


Rights and permissions
Creative Commons License This work is licensed under a Creative Commons Attribution-NonCommercial 4.0 International License.

© 2025 CC BY-NC 4.0 | Jorjani Biomedicine Journal

Designed & Developed by : Yektaweb