Volume 9, Issue 2 (5-2021)                   Jorjani Biomed J 2021, 9(2): 45-54 | Back to browse issues page

XML Print


Download citation:
BibTeX | RIS | EndNote | Medlars | ProCite | Reference Manager | RefWorks
Send citation to:

Yahyaei B, Varmazyar S. Investigation of the Effects of Methylphenidate and Endurance Exercise on Structural Changes in Brain Tissue of Male Rats with Hyperactivity. Jorjani Biomed J 2021; 9 (2) :45-54
URL: http://goums.ac.ir/jorjanijournal/article-1-818-en.html
1- Department of Medical Sciences, Shahrood Branch, Islamic Azad University, Shahrood, Iran , behroozyahyaei@iau-shahrood.ac.ir
2- Department of Medical Sciences, Biological Nanoparticles in Medicine Research center, Shahrood Branch, Islamic Azad University, Shahrood, Iran
Full-Text [PDF 645 kb]   (4210 Downloads)     |   Abstract (HTML)  (13229 Views)
Exercise can be an alternative to the use of drugs such as methylphenidateIt is possible to emphasize the need for endurance exercise to reduce blood pressure and treat hyperactivity.
Full-Text:   (3497 Views)
Highlights
Exercise can be an alternative to the use of drugs such as methylphenidateIt is possible to emphasize the need for endurance exercise to reduce blood pressure and treat hyperactivity.

Introduction
Attention deficit hyperactivity Disorder (ADHD) is one of the most common mental disorders in children that cause many individual, family and social problems. About one-third to one-half of patients referred to child psychiatric clinics is those with this disorder. As far as it is one of the most common reasons for referral to family physician, pediatrician, neurologist and child psychiatric clinics. For ADHD, risk factors include biological, psychological, behavioral and environmental characteristics. A child who exhibits at least 6 of the 9 symptoms of inattention or 6 of the 9 symptoms of hyperactivity-impulsivity in at least two settings (home, school, or others) is suspected of having the disorder (1).
The first and most effective as well as the safest medical treatment for ADHD is central nervous system stimulant drugs or sympathomimetics, and methylphenidate (Ritalin) is one of the most well-known central nervous system stimulant drugs used for this purpose.
Methylphenidate is the first drug choice for the treatment of ADHD. Methylphenidate is one of the most widely used psychedelics. Production of this drug increased from 2.8 tons in 1990 to 38 tons in 2006. This increase was not only due to its association with ADHD, but also primarily due to its generality about drug use (2). ADHD is clinically diagnosed and its evaluation is not objective to confirm diagnosis ADHD (2, 3). This exaggerates diagnosis of ADHD and leads to an increase in the rate of prescription (2, 4). The effects of Methylphenidate for ADHD are shown on children 6 years of age and older, adolescents and adults and not approved for use in children less than 6 years of age, its use is increasing. Methylphenidate is completely and rapidly absorbed when taken orally and easily crosses the blood-brain barrier (5). It is first metabolized by the liver, which produces Methylphenidate acid, which is excreted by the kidneys. The half-life of Methylphenidate is about 2 h after absorption and the half-life of its metabolite is about 7 h. Methylphenidate pharmacokinetics in children is essentially the same as in adults, and its life cycle is similar to that seen in mice and monkeys (5). Although Methylphenidate has a satisfactory and healthy appearance (6, 7), it has sudden side effects such as headache, loss of appetite, weight loss, insomnia, abdominal pain and growth delay. For chronic drug use, other effects such as dependence, irritability in patients with ADHD, reduced hyperactivity, nausea, palpitations, increased anxiety, drug abuse, and cardiovascular risk may occur (7). Mortality due to Methylphenidate abuse has also been reported (8, 10). In a case in a young adult, overdose with multiple injections was associated systemic central nervous system, hepatic, renal, pancreatic, pulmonary, and central nervous system complications.
Therefore, one of the concerns for parents of hyperactive children is adverse side effects in the body following long-term use of this drug. On the other hand, the results of studies show the beneficial effects of regular exercise in reducing and preventing diseases related to oxidative stress such as cancer, cardiovascular disease, diabetes, and etc (11). If exercise is done well, it will lead to obvious changes in the tissues and systems of the body, which in turn will lead to improved performance in exercise. Therefore, regular exercise increases endurance, strength, speed, flexibility and coordination, and the athlete's body enjoys a coordinated development, so exercise activities can be effective on reducing the effects of methylphenidate in children.
In a study in US, prevalence of ADHD was reported to be between 2 and 18% (12). Studies in different parts of the world have reported different prevalence in each region, and the incidence of this disorder in boys is 2 to 1 to 5 to 1 in girls and is more common in the first boys of the family. Most children and adolescents with ADHD use more psychic health services than their peers and are more likely to engage in health-threatening behaviors such as smoking, and drug and alcohol addiction. ADHD is transmitted from childhood to adulthood. With age, the likelihood of developing or progressing emotional-behavioral disorders as well as academic failure and school problems increases (12).
L-Arginine analogues are widely used nitric oxide synthase (NOS) inhibitors in vitro and in vivo. That L-Name is one of them. Acute and chronic treatment with L-NAME leads to changes in blood pressure and vascular response due to reduced nitric oxide (NO). However, lower doses of L-NAME may also activate NO production through feedback regulatory mechanisms if used for a long time.
L-NAME has also been studied for the treatment of hypotension and spinal cord injury. It is an alpha amino acid ester and acts as a nitric oxide synthase inhibitor (13).
Studies in this area have focused on other therapeutic properties and tissues such as the hippocampus, but the present study examined all areas of the brain after drug and exercise therapy. Therefore, the aim of the present study was to investigate the healing properties of exercise and drug therapy on histopathological changes induced by induction of blood pressure by L-NAME in the brain tissue in hyperactive male rats.
Materials and Methods
  • Statistical community of research
In this study, 33 Wistar rats weighing 180-220 g were randomly divided into a control group (5 rats) and 4 experimental groups (28 rats). The rats were placed in special boxes that had previously been rinsed with saline solution after transfer. Prior to grouping, 4 rats were kept in each box and a special plate food was used to feed them. In addition, during the study, the rats benefited from 12 h of light and 12 h of darkness and were at the ambient temperature between 20 and 24 degrees Celsius. The research method in this study was experimental. The research design was pretest and posttest with a control group. The research design of this research is as follows.
1. Healthy control group
2. Induction group of hyperactivity without intervention
3. Induction group of hyperactivity + methylphenidate
4. Induction group of hyperactivity + endurance exercise
5. Induction group of hyperactivity + methylphenidate + endurance exercise

Induction for hypertension
To do induction 10 mg/kg of L-NAME (L-Arginine Methyl Ester, for blood pressure induction) for 8 weeks was injected peritoneally 6 days a week. Finally, rats that tested positive in the Open Field Test were used as samples. The animals were exposed to the same nutritional, temperature and light conditions in the animal laboratory of Islamic Azad University of Shahrood, a few days before the start of the experiment. One week before the induction of hyperactivity, systolic blood pressure was measured. For this purpose, the animal was placed in a special cage and covered with a cloth to reduce the effect of external stimuli on the animal cage. Nitrogen oxide (NO) and angiotensin 1 converting enzyme (ACE) measurements were used to measure hyperactivity.
  • Check for hyperactivity
The rats weighing 20-220 g and highly hyperactive with 10-12 weeks of age that responded to the main symptoms of ADHD such as hyperactivity, impulsivity and attention deficit using Open Field Test were selected as the research sample. The rats were kept at temperatures between 18 and 22 ° C and overnight periods of 19 to 7 in the dark and 7 in the morning to 19 in the light. The rats were divided into drug, treadmill, control, hyperactive, and drug + treadmill groups after a diet period that resulted in hypertension, hyperactivity, and attention deficit symptoms. Balance and motor coordination tests were taken after 8 weeks of exercise using Beam Walking or Balance Test. The drug group was given 1 mg of Methylphenidate per kg of body weight orally. The rats in the exercise group exercised for 30 min a day and 7 days a week for 4 weeks.
 
  • Endurance exercise
5-band treadmill was used, in which 5 rats first and then 2 rats were placed. The rats' exercise program was 30 min per day running for 49 days. The exercise load for exercise groups after 5 days of introduction in the first and second weeks was 20 m per minute, 25 m per minute in the third and fourth weeks and 30 m per minute in the fifth to seventh weeks.
Open Field is an open square box with dimensions of 68 × 68 × 45 which is made of glass plexiglass with black base and forms the test environment. Each rat was placed in a square box similar to the test site for 1 min before entering the device, and then placed in Open Field device for 5 min. At a distance of 2.5 m from the box, it tracked the animal's movements and recorded various indicators, including the total distance traveled, the maximum distance traveled at one time and the duration, and transferred it to the computer.
  • Sampling
At the end of the whole experimental period, for tissue sampling, rats were sacrificed by chloroform in desiccator containers and tissue sampling was performed.
First, all rats fasted for 10 h since the night before the last anesthesia. For anesthesia, they were placed in a desiccator containing chloroform-impregnated cotton. The rats were then weighed again. At this stage, the rats were fixed on a surgical board for sampling and then their brain box zone was cut using a surgical blade, the brain structure was isolated by scissors and pliers and weighed by a digital scale. Then, isolated samples from all rats were immediately placed in containers containing 10% formalin solution to fix the tissue and after 24 h formalin solution was replaced. Then, the samples were sent to histology laboratory to prepare histological sections. The above study has been approved by the ethics code IR.IAU.SHAHROOD.REC.1397.024.
Result
After tissue preparation, the sections will be histologically evaluated using a light microscope in terms of variables that are normally and conventionally studied to examine the process of histopathological changes in the target tissue.
Histological sections were qualitatively examined. Based on this, the existing changes were measured with nominal and qualitative ranks and it was determined how much changes are in each tissue.
  • Control
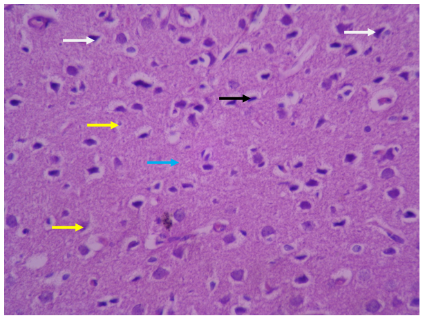
In the samples of the healthy control group, the brain tissue, gray matter and white layers are completely regular with healthy characteristics and normal cells visible (Figure 1).
Gray matter and its surface layer, called the molecular layer, have fewer cells and more nerve fibers, and its characteristics are quite normal. The various layers in gray matter zone are regular and with a normal number of cells. The characteristics of pyramidal neurons (white arrow) and neuroglycemic cells (yellow arrow) are completely normal and their nucleus and cytoplasm have a natural form and appearance. Microglia cells with dark and elongated nuclei are seen with appropriate dispersion and number (black arrow). Blood vessels and the structure of the blood-brain barrier (red arrow) are visible with a natural appearance. The neuropilezone is also seen with normal characteristics (blue arrow).
 


Figure 1. Photomicrograph of rat brain in healthy control group (Hematoxylin and Eosin staining×400)
  • Hypertension
In the samples of the hypertension group, the brain tissue compared to the control group has a slight irregularity and disintegration with a reduction in cell population (Figure 2). Neurons (white arrow) and neurogli cells (yellow arrow) are of normal size and number, but in some zones they are reduced in number and show a dark cytoplasm. Microglial cells (black arrow) are less than normal. There is some hyperemia and vascular retention (red arrow) in the brain tissue. The neuropilezone is also seen with normal characteristics (blue arrow).
 

 
Figure 2. Photomicrograph prepared from rat brain in hypertension group (Hematoxylin and Eosin staining×400)
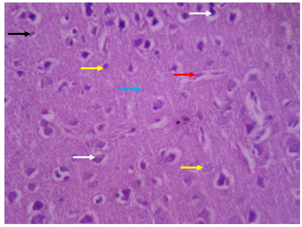
  • ADHD
In the samples of the ADHD group, brain tissue hyperactivity shows few visible changes compared to the control group (Figure 3). Although gray matter, white matter, and other molecular layers are seen with normal cells and morphological structure, the characteristics of the neurons (white arrow), and blurring of the cytoplasm and the absence of most nuclei are not clear. Microglial cells are also present in small numbers and reduced in size (black arrow). Also, blood vessels (red arrow) have a little accumulation and retention. The characteristics of neurogli cells (yellow arrow) and the neuropilezone are also normal (blue arrow).

Figure 3. Photomicrograph of rat brain in ADHD group (Hematoxylin and Eosin staining×400)
 
  • Exersice
In the samples of the exercise group, the brain tissue is the same as the other control groups and it does not show much change and there is only a small amount of disintegration in the gray matter (Figure 4). The layers of gray matter and white matter appear completely natural. Also, the characteristics related to pyramidal neurons (white arrow) are completely normal and healthy. There are neurogli (yellow arrow) and microgli (black arrow) cells with normal characteristics and normal nucleus and cytoplasm. In the neuropilezone, the number and accumulation of cell bodies and filaments is normal (blue arrow).

Figure 4. Photomicrograph prepared from rat brain in exercise group (Hematoxylin and Eosin staining×400)
  • Metylphenidate
In samples of methylphenidate group, normal brain tissue is seen with a slight irregularity. Gray matter and its layers and white matter and their morphology are natural (Figure 5). Neurons (white arrow) are seen with perfectly normal and healthy characteristics, but the normal number has been reduced in some zones. The number and characteristics of neuroglobulin cells (yellow arrow) are normal but the number of microglial cells (black arrow) is reduced. Blood vessels (red arrow) are seen with a slight accumulation of blood. The characteristics of neuropilezone are normal in terms of the number and accumulation of the cell body (blue arrow).

Figure 5. Photomicrograph prepared from rat brain in methylphenidate group (Hematoxylin and Eosin staining×400)
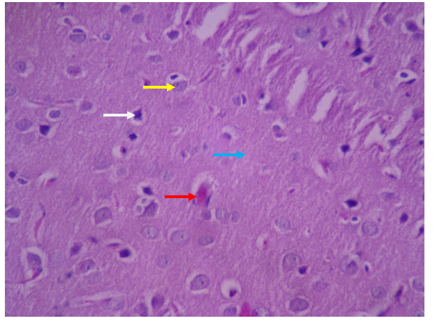
  • Exercise and Methylphenidate
In the samples of exercise and methylphenidate group, brain tissue was very similar to the control group and slightly different from the previous groups. Pyramidal neurons (white arrow) are quite clear and natural (Figure 6). Neuroglial cells (yellow arrow) with normal cell and nucleus characteristics and cytoplasm and normal number and dispersion are seen. Microglial cells are also seen in greater numbers but with normal characteristics. A small amount of congestion is also visible in the tissue (red arrow). No change is in the neuropilezone (blue arrow).

Figure 6. Photomicrograph prepared from rat brain in exercise and methylphenidate group (Hematoxylin and Eosin staining×400)

Discussion
A study by Shadmehri et al. (2019) showed that aerobic exercise with Methylphenidate can increase hippocampal BDNF levels in hyperactive rats and reduce side effects (3). Therefore, the study results are consistent with the present study because the effect of exercise on reducing brain tissue changes in neonatal rats with ADHD is evident but different but in terms of the method used to measure the gene.
The study results of Yahyaei et al. (2018) showed that aerobic exercise for 8 weeks to a large extent reduced rat cerebellar tissue (14). Therefore, the study results are consistent with the present study because of the effect of exercise on reducing changes in brain tissue, but it is different in terms of medication and method.
The results of the present study are consistent with the study results of Jamshidi et al. (2016). As the study showed that different concentrations of methylphenidate caused liver damage and the amount of enzyme changes related to biochemical function of the liver in experimental groups showed a significant increase and therefore it is recommended to refrain from prescribing the above drug for liver patients (4).
A study by L et al. (2015) showed that after methylphenidate injection, a significant reduction was observed in urine flow, glomerular filtration rate and percentage of tubular sodium transport. However, methylphenidate causes no change in histopathology of the kidney (5) and therefore is not similar to the results of the present study.
The study results of Lotfi et al. (2016) showed that repeated use of methamphetamine even at low doses through the effect on the pituitary gland axis and various factors involved in spermatogenesis disrupts the process of spermatogenesis, which may also reduce fertility (6). Therefore, the study results are similar to the results of the study in terms of the destructive effects of amphetamine, but different in terms of the type of tissue studied.
A study by Ramsami et al. (2014) on the simultaneous use of methylphenidate showed testicular failure. Also, this showed that methylphenidate would delay puberty as well as testicular failure (7). Also, a study by Montagnini et al. (2014) showed that increasing the dose of methylphenidate causes changes in testicular tissue and reduces its volume (8). The results of these two previous studies are consistent with the results of our study in terms of the destructive effects of methylphenidate on tissue, but differ in terms of the type of tissue studied.
The results of the present study are also consistent with the study results of Kim et al. (2011) which showed that treadmill and methylphenidate improved the symptoms of ADHD by enhancing dopamine synthesis and expression of brain-derived neurotrophic factor in hypertensive rats (9).
Cho et al. (2014) showed that exercise reduces the symptoms of ADHD by boosting dopamine D2 expression in the brain, which is consistent with the present study. According to the results of the present study, the effect of exercise alone is greater than that of methylphenidate alone on changes in brain tissue (10).
According to a study by Bahcelioglu et al. (2009) which showed that methylphenidate causes nerve damage and structural changes in the capillary wall, increasing the dose of Methylphenidate stimulates astrocytic hypertrophy and, consequently, reduces the risk of degenerative changes in the cortex by prescribing a high dose of methylphenidate. The present study also indicates the somewhat adverse effects of Methylphenidate on hyperemia and inflammation of brain tissue that can be improved by exercise (11).
Conclusion
The results of the present study show the effect of exercise on reducing histopathological changes in brain tissue in neonatal rats with ADHD. Therefore, it can be stated that exercise can be an alternative to the use of drugs such as methylphenidate. According to the study results, the effect of exercise alone is greater than methylphenidate on brain tissue changes. Although the drug has been more effective on improving some variables such as changes in gray matter, it has not reduced neuronal changes, congestion and inflammation not seen in the exercise group. Also, the results of simultaneous drug use and exercise are satisfactory. Based on the results, it is possible to emphasize the need for Endurance exercise to reduce blood pressure and treat hyperactivity, and it is recommended to use other treatment and exercise protocols for results in the future.
Authors’ Contribution
All authors had an equal role in study design, work, statistical analysis and manuscript writing.
Conflicts of interest
There are no conflicts of interest.
Ethical Approval
The code of ethics was IR.IAU.SHAHROOD.REC.1397.024. Written informed consent was obtained.
Funding/Support:
This research did not receive any specific grants from any funding agencies in the public, commercial, or not for profit sectors.
Type of Article: Original article | Subject: Basic Medical Sciences
Received: 2021/04/3 | Accepted: 2021/06/1 | Published: 2021/06/20

References
1. Sibley MH, Mitchell JT, Becker SP. Method of adult diagnosis influences estimated persistence of childhood ADHD: a systematic review of longitudinal studies. Lancet Psychiatry. 2016;3(12):1157-65. [view at publisher] [DOI] [Google Scholar]
2. Biederman J. Attention-deficit/hyperactivity disorder: a selective overview. Biological psychiatry. 2005;57(11):1215-20. [view at publisher] [DOI] [Google Scholar]
3. Shadmehri S, Ahmadi M, Abbassi-Daloii A, Ziaolhagh SJ, Yahyaei B. Motor coordination and structural changes of hippocampus tissue in response to eight weeks of aerobic training and Methylphenidate consumption in hyperactive rats. Feyz Journal of Kashan University of Medical Sciences. 2018;22(5):458-68. [view at publisher] [Google Scholar]
4. JamshidiTari N, Fazelipoor S, LooieMonfared A, Tootian Z. Study of histometric and histopathologic changes and biochemical functioning of liver in mice Balb/C treated with methylphenidate. Medical Science Journal of Islamic Azad Univesity-Tehran Medical Branch. 2016;26(3):135-41. [view at publisher] [Google Scholar]
5. Salviano LHMS, Linhares MI, de Lima KA, de Souza AG, Lima DB, Jorge ARC, et al. Study of the safety of methylphenidate: Focus on nephrotoxicity aspects. Life sciences. 2015;141:137-42. [view at publisher] [DOI] [Google Scholar]
6. Lotfi M, Nouri A, Karimi A, Pilehvarian A. The effects of methamphetamine on the development of the testes in immature male rats. SSU_Journals. 2016;24(3):222-31. [Google Scholar]
7. Ramasamy R, Dadhich P, Dhingra A, Lipshultz L. Case Report: Testicular failure possibly associated with chronic use of methylphenidate. F1000Research. 2014;3. [view at publisher] [DOI] [Google Scholar]
8. Montagnini BG, Silva LS, dos Santos AH, Anselmo-Franci JA, Fernandes GSA, MesquitaSdFP, et al. Effects of repeated administration of methylphenidate on reproductive parameters in male rats. [view at publisher] [Google Scholar]
9. Kim H, Heo H-I, Kim D-H, Ko I-G, Lee S-S, Kim S-E, et al. Treadmill exercise and methylphenidate ameliorate symptoms of attention deficit/hyperactivity disorder through enhancing dopamine synthesis and brain-derived neurotrophic factor expression in spontaneous hypertensive rats. Neuroscience letters. 2011;504(1):35-9. [view at publisher] [DOI] [Google Scholar]
10. Cho HS, Baek DJ, Baek SS. Effect of exercise on hyperactivity, impulsivity and dopamine D2 receptor expression in the substantia nigra and striatum of spontaneous hypertensive rats. Journal of exercise nutrition & biochemistry. 2014;18(4):379. [view at publisher] [DOI] [Google Scholar]
11. Bahcelioglu M, Gozil R, Take G, Elmas C, Oktem H, Kadioglu D, et al. Dose-related immunohistochemical and ultrastructural changes after oral methylphenidate administration in cerebrum and cerebellum of the rat. The World Journal of Biological Psychiatry. 2009;10(4-2):531-43. [view at publisher] [DOI] [Google Scholar]
12. Biederman J, Spencer T, Wilens T. Evidence-based pharmacotherapy for attention-deficit hyperactivity disorder. International Journal of Neuropsychopharmacology. 2004;7(1):77-97 [view at publisher] [DOI] [Google Scholar]
13. Kopincová J, Púzserová A, Bernátová I. L-NAME in the cardiovascular system - nitric oxide synthase activator? Pharmacol Rep. 2012;64(3):511-20. [DOI]
14. Yahyaei B, Nouri M, Ramezani M. The Effects of Anabolic Steroids Boldenone with Eight Weeks Aerobic Exercise on Histopathological Changes in Cerebellum Male Wistar Rats. Journal of Sabzevar University of Medical Sciences, 2019;25(6):885-894. [view at publisher] [Google Scholar]

Add your comments about this article : Your username or Email:
CAPTCHA

Send email to the article author


Rights and permissions
Creative Commons License This work is licensed under a Creative Commons Attribution-NonCommercial 4.0 International License.

© 2025 CC BY-NC 4.0 | Jorjani Biomedicine Journal

Designed & Developed by : Yektaweb